


The Doomsday Clock has ticked closer to midnight than ever before in 2026, and while it marks a four-second jump from last year's already record-breaking time, the events of the past 12 months haven't exactly left many surprised by the outcome.
2026 has got off to a concerning start, with ICE shootings, President Donald Trump vowing to claim Greenland for the USA, and medical emergencies aboard the International Space Station.
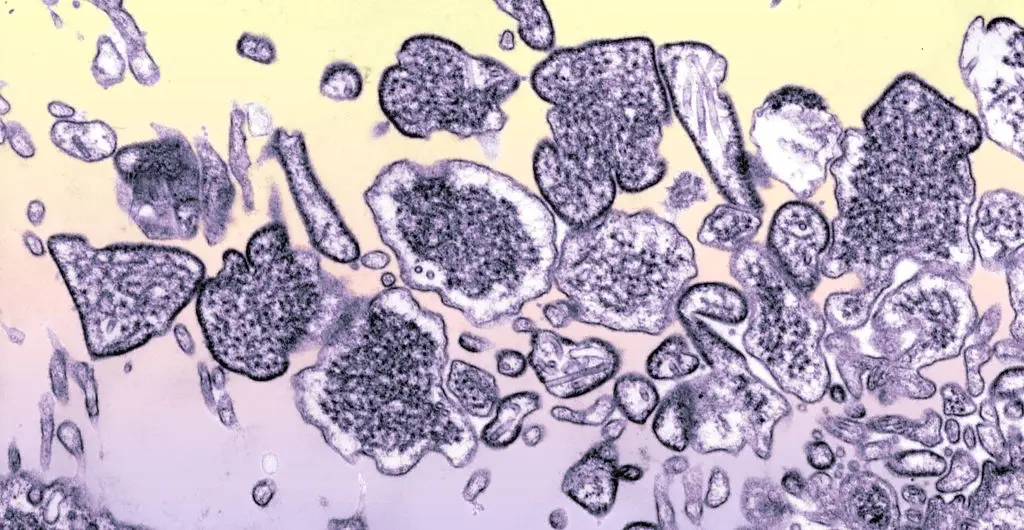
If fears that the dollar is about to collapse weren't enough to have the doomsayers ringing their bells, there's also a potentially deadly Nipah virus outbreak to contend with.
With a mortality rate of anywhere between 40% and 75%, the Nipah virus can be far more deadly than COVID-19, and we all remember how it brought the world to its knees in 2025.
Advert
Airports across Asia have upped their security, with India confirming two cases from an incident in West Bengal.
Symptoms of the Nipah virus can range from headaches and a sore throat to acute pneumonia and respiratory distress. Later stages of more serious cases include encephalitis (brain swelling), seizures, and falling into a coma before death.

India's Ministry of Health maintains that it has 'contained' the outbreak and has downplayed reports that there were at least five positive cases, but amid promises that authorities will keep an eye on the situation, other countries are rightly on high alert.
The likes of Indonesia, Thailand, and now Vietnam have installed measures at airports to try to combat the spread of the Nipah virus, but what about it coming to the USA?
A February 2023 incident in Bangladesh led to 11 cases, with 10 of them linked to consuming date palm sap – something the World Health Organization warns about as a potential transmitter.
Typically spread by Pteropus bats as a reservoir of Nipah, this zoonotic virus can jump from animals to humans through saliva and urine.
When the Nipah virus was first reported in 1998, 108 deaths were traced back to an outbreak of neurological and respiratory disease on pig farms in peninsular Malaysia.
As the WHO reiterates "human-to-human transmission of Nipah virus has also been reported among family and care givers of infected patients," there are obvious concerns that it could spread to the USA.
Thankfully, the Centers for Disease Control and Prevention (CDC) suggests it'll be unlikely.
At the time of writing (January 26, 2026), there have been no cases of Nipah virus in the USA, with officials advising that residents don't have much to worry about. The fruit bats that are usually associated with carrying the Nipah virus are found in Asia, the South Pacific, and Australia.
Although the Indian state of Kerala has dealt with Nipha virus outbreaks nearly every year since 2018, there has never been a reported case of infection in North America.
Even though the CDC's routine surveillance looks out for infectious diseases like the Nipah virus, and US labs can test for it, there's been no alert predicting a jump from Asia.
As of late 2026, there are no official CDC travel warnings about Nipah at a Level 3 or Level 4.
Still, as there's no vaccine or real treatment for the Nipah virus, India maintaining that it has contained a potential outbreak can hopefully put some people's fears at rest.