


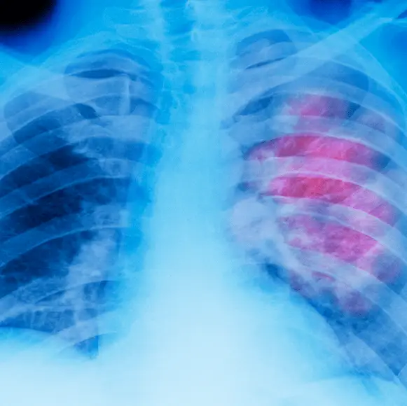
The world-first vaccine for lung cancer is currently in development.
Researchers from the University of Oxford, the Francis Crick Institute, and University College London (UCL) have been granted £1.7 million to advance the development of a lung cancer vaccine called 'LungVax' for those at high risk of getting lung cancer.
Cancer is an extremely difficult disease to treat in that 'it’s hard for the immune system to distinguish between what’s normal and what’s cancer,' as described by Professor Tim Elliott who is leading the LungVax project.
However, this vaccine could hold promise in intercepting lung cancer in its earliest stages, with researchers optimistic that the vaccine could cover around 90% of all lung cancer cases.
Advert

Using similar technology to that in the Oxford/AstraZeneca COVID-19 vaccine, LungVax works by activating the immune system to kill cancer cells and stop lung cancer using a strand of DNA.
The vaccine then trains the immune system to recognise specific ‘red flag’ proteins in lung cancer cells (neoantigens) and eliminate them.
Michelle Mitchell, chief executive of Cancer Research UK, explained: ‘The science that successfully steered the world out of the pandemic could soon be guiding us toward a future where people can live longer, better lives free from the fear of cancer.
‘Projects like LungVax are a really important step forward into an exciting future, where cancer is much more preventable.
‘We’re in a golden age of research and this is one of many projects which we hope will transform lung cancer survival.’

Professor Sarah Blagden, professor of Experimental Oncology at the University of Oxford and founder of the LungVax project, added: ‘When given to people with cancer at its earliest stages, anti-cancer treatments are more likely to be successful.
‘We are developing a vaccine to stop the formation of lung cancer in people at high risk. This is an important step forward in preventing this devastating disease.’
The funding will support lab research and initial manufacturing of 3,000 LungVax doses at the Oxford Clinical BioManufacturing Facility over the next two years.
There are hopes that soon the vaccine will be scaled up to larger trials for high-risk individuals, including people aged 55-74 who are current smokers or have previously smoked. This is the same group that is eligible for targeted lung health screenings in parts of the UK.